7 wskazówek: zdrowy uśmiech bez dentysty!

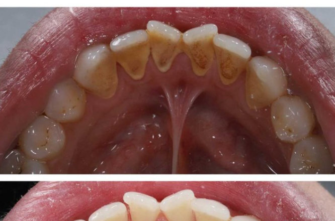
Olśniewający uśmiech jest jak wizytówka: robi ogromną różnicę. Ale z czasem na naszych zębach osadza się niewidzialny wróg: kamień nazębny. Skutek? Żółtawe plamy, szorstkie uczucie… i uśmiech, którego już nie chcesz pokazywać.

Co jeśli powiemy Ci, że istnieją proste, naturalne i skuteczne rozwiązania, aby pożegnać się z tymi uporczywymi osadami? Bez regularnych wizyt u dentysty i inwestowania w drogie zestawy wybielające.

Oto 7 prostych wskazówek, które łatwo zastosować w domu, aby przywrócić czyste, białe zęby… i zdrowie jamy ustnej! 1. Magiczny duet: soda i nadtlenek wodoru! To jak »ekspresowy środek czyszczący» do szczotkowania zębów. Soda oczyszczona, lekko ścierna, pomaga usuwać płytkę nazębną.

Nadtlenek wodoru o jakości spożywczej działa jak łagodny środek dezynfekujący. Wymieszaj 2 łyżki sody oczyszczonej z 1 łyżką nadtlenku wodoru (maksymalnie 3%). Szczotkuj zęby tą pastą przez 2 minuty, a następnie dokładnie wypłucz usta. Rób to 1-2 razy w tygodniu maksymalnie. 2. Rozcieńczony ocet jabłkowy:

Twój nowy sojusznik! Znany ze swoich właściwości antybakteryjnych ocet jabłkowy może rozłożyć płytkę nazębną, zanim zamieni się w kamień nazębny. Rozcieńcz łyżeczkę octu jabłkowego w łyżce stołowej wody, używaj jako płynu do płukania ust przez 30 sekund, a następnie wypłucz czystą wodą. Nie stosuj codziennie, aby uniknąć uszkodzenia szkliwa zębów. 3.

Olej kokosowy: Staromodny płyn do płukania ust! Ta metoda, pochodząca z tradycji ajurwedyjskiej, nazywa się płukaniem ust olejem. Olej kokosowy, który ma naturalne właściwości antybakteryjne, zatrzymuje bakterie i odświeża oddech. Weź łyżkę stołową oleju kokosowego i trzymaj ją w ustach przez 10-15 minut. Wypluj (do kosza, nigdy do zlewu, aby uniknąć zatkania), a następnie wypłucz usta. 4. Skórka pomarańczowa: Mądry peeling!

Limonene zawarty w skórce pomarańczowej pomaga rozpuszczać przebarwienia powierzchniowe. Delikatnie pocieraj wewnętrzną stronę skórki o zęby przez 2-3 minuty. Możesz również zrobić z niego pastę, krusząc ją. Jest naturalny, delikatny i skuteczny. 5. Węgiel aktywowany: Czarny, wybielający! Porowata konsystencja węgla aktywowanego pochłania zanieczyszczenia i pomaga usuwać płytkę nazębną.

Zanurz wilgotną szczoteczkę do zębów w proszku, delikatnie szczotkuj zęby przez 2 minuty, a następnie dokładnie wypłucz usta. Stosuj z umiarem (1-2 razy w tygodniu), aby uniknąć uszkodzenia szkliwa. 6. Aloes: Delikatny i skuteczny! Ten ziołowy żel ma właściwości przeciwzapalne i antybakteryjne.

Wymieszaj 1 łyżeczkę żelu aloesowego z 5 g sody oczyszczonej i 1/2 łyżeczki olejku eterycznego z cytryny. Szczotkuj zęby tą domową pastą, aby ukoić dziąsła i zmniejszyć kamień nazębny. 7. Zielona herbata: Twoje usta ją pokochają! Bogata w katechiny,Zielona herbata ogranicza rozwój bakterii i pomaga utrzymać zdrowie jamy ustnej.

Pij filiżankę zielonej herbaty dziennie (bez cukru!), aby naturalnie wzmocnić mechanizmy obronne jamy ustnej. Aby zachować olśniewający uśmiech, postaw na regularność! Te wskazówki nie zastępują profesjonalnej opieki, ale stanowią doskonałe uzupełnienie prawidłowej higieny jamy ustnej: szczotkowanie zębów dwa razy dziennie, nitkowanie, delikatne płyny do płukania ust i przede wszystkim… regularne wizyty u dentysty. Wprowadź 1 lub 2 z tych czynności do swojej codziennej rutyny, a zobaczysz realną poprawę w ciągu kilku tygodni. Mniej kamienia nazębnego, gładsze zęby, świeższy oddech… i to wszystko bez większego wysiłku.

Leave a Reply

Your email address will not be published. Required fields are marked *